5岁小孩得了流感
没想到会确诊急性坏死性脑病!
日前
广东佛山5岁多的小康
出现了不明原因的发热、
腹泻、咳嗽等症状
自行服药后病情出现反复
随即被送至医院儿童重症医学科(PICU)

主治医师回忆
小朋友到院后出现抽搐
很快陷入昏迷
病情发展非常迅速

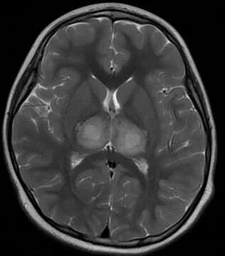
小康入院初时的脑部检查影像图
在急查病原学后
提示其为甲型流感病毒
而小康的头颅MRI检查结果提示
其双侧丘脑、双侧小脑半球
及小脑蚓部异常信号
经综合研判后
考虑是急性坏死性脑病
据悉
急性坏死性脑病是儿童的危重症
喜欢攻击人体中枢神经系统
病情凶险
死亡率30%~50%、伤残率极高
需要立即为患儿
制定抢救治疗方案
于是医生为小康
进行了“血浆置换术”
后经半个月综合治疗
小康的各种炎症指标已显著下降
目前小康的健康状况良好
已顺利出院
为何小康病情会发展得这么急促?
还这么严重呢?
医生表示:甲型流感病毒所致




主治医师李婕燕说道:
“这个急性坏死性脑病
一般是由病毒感染引起的
多数都是甲型的流感病毒
还有疱疹病毒
还有我们也试过那种肠道病毒。”
什么是急性坏死性脑病?
急性坏死性脑病(ANE)
是一种少见、快速进展、危及生命的
感染相关性急性脑病
首发症状常为高热或超高热
突出表现为高热后
迅速出现惊厥发作和昏迷
惊厥发作多出现在发热后24~72小时
部分甚至在发热后24小时内
意识障碍
多在首次惊厥发作后即出现
严重者随病情进展
可很快发生严重颅高压、脑疝
进而出现脑功能衰竭甚至脑死亡
如何区分流感和普通感冒症状?
流感和普通感冒
都可能有上呼吸道症状
比如鼻塞、流鼻涕、打喷嚏、
咳嗽、喉咙痛
都有传染性
但是,相比普通感冒
流感全身症状比较重
主要症状是高烧、头痛、
咽痛、肌肉酸痛等
医生表示
近期是流感小高峰
想要预防流感
最有效的办法是接种疫苗
除此之外
家长们也要在日常生活中做好防护
中国新闻网综合自广东医科大学顺德妇女儿童医院、广东民生DV现场、广州日报等
责任编辑:陈思阳