多肽分子由于其良好的生物兼容性和稳定的非共价作用,在构建生物医用功能材料领域广受关注。
近日,南开大学余志林课题组在国际著名期刊《美国化学会志》上发表论文,提出了“酶放大多肽组装”这一新概念,通过多肽组装—酶表达之间的放大关系,实现了正常酶水平下的胞内原位组装过程,为疾病的早期诊断及干预提供了一种新策略。
多肽通常指由三个或三个以上氨基酸组成的化合物,我们所熟知的“蛋白质”正是由50个以上的氨基酸组成的多肽。肽是人体中最必不可少的成分,是人体一切活性物质的存在形式。因此,通过在特定条件下形成具有确定结构特征的多肽聚集体的多肽组装技术,在生物医药领域具有良好的应用前景。
“近年来,在活细胞内通过酶催化组装、原位构筑多肽纳米结构是实现疾病检测与治疗的有效策略与前沿研究领域。然而,这一过程严重依赖蛋白酶的过表达。在疾病早期,细胞内酶水平与正常细胞相比差异不大,因此该策略在疾病早期检测或细胞活性调控中的应用是受到极大限制的。”余志林介绍,为攻克这一难题,团队尝试在正常酶水平下建立基于多肽组装—酶表达放大关系的多肽组装新机制。
在多肽可控组装策略及生物医用功能材料的前期研究基础上,余志林团队通过设计并合成醌丙酸修饰的多肽AmpFQ及其衍生物AmpFQ-ETGE(其中ETGE序列源自Nrf2结构域),以炎症巨噬细胞中NADH-醌脱氢酶1(NQO1)为例,构建了一套“多肽自放大组装体系”。

图1.巨噬细胞中与NQO1表达相关的多肽自放大组装示意图。
图片来源:J. Am. Chem. Soc.
“实验表明,响应性多肽前体分子可以被酶有效还原,形成具有良好组装能力的多肽基元。所得到的多肽组装体可以稳固地与酶表达上游通路蛋白结合,促进酶表达。细胞内酶水平的提高反过来驱动多肽还原与组装,从而建立了多肽组装与酶表达的放大关系。”论文第一作者、南开大学化学学院博士研究生宋艳秋介绍,通过WB分析和生物电镜表征,研究证实了该体系可以通过上调酶表达实现巨噬细胞中多肽的自放大组装。

图2. 自放大组装体AmpFQB在巨噬细胞内实现酶表达自放大组装过程。
图片来源:J.Am. Chem. Soc.
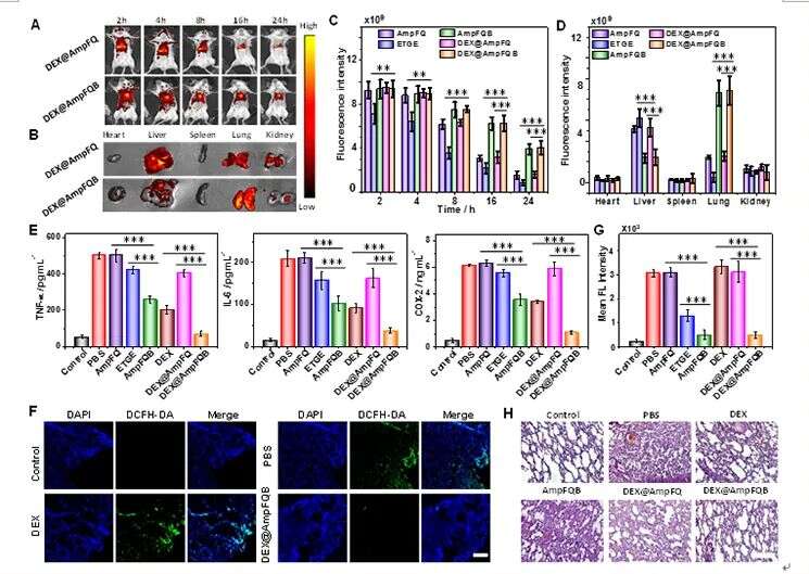
“同时,我们还进行了动物体内体外实验,证实了这套‘多肽自放大组装体系’作为药物递送载体,在急性肺炎治疗中可以增强药物的抗炎作用。”余志林表示,结合多肽的可靠靶向性,该体系有望为未来精确有效地创建用于疾病诊断和治疗试剂提供一种有效的新策略。

图3. 自放大组装体系DEX@AmpFQB的活体急性肺损伤抗炎治疗效果。
图片来源:J. Am.Chem.Soc.
该研究成果得到了国家自然科学基金委项目资助。
论文链接:
https://pubs.acs.org/doi/10.1021/jacs.2c01323