
开栏的话:2022年是浙江大学建校125周年,是学校立足新起点新征程、肩负新使命新担当、展现新班子新气象的关键一年。本平台特别开设“浙大新印象”融媒体专栏,全面展示各学院(系)在更高历史使命引领下走向世界一流大学前列的生动画卷,进一步弘扬求是创新精神,涵育校园文化,凝聚浙大人奋发进取的源动力和向心力,心怀“国之大者”,奋力“走在前列”,坚定走好新的“赶考”之路,以优异成绩向党的二十大献礼。今天,我们一起走进生物医学工程与仪器科学学院。
方寸之间见天地
每位走进浙江大学生物医学工程与仪器科学学院大楼的师生,都会看到一行醒目的“要多尝试学科交叉研究”,常把浙大人的思绪牵回15年前。

2007年1月5日,习近平同志来到学院观看“大鼠机器人”实验演示。过程中,他亲切地对现场师生说:“年轻人要多尝试学科交叉研究,努力将实验成果与临床等应用方面结合”。

一声温暖的鼓励在生仪人心中埋下种子,怀抱对未知世界的想象、激发不同学科的潜能,破土沐春以寻求生命与科学的无尽妙缘。
情牵天海
特殊的学科基因决定了生仪师生所专注的事业——综合运用生物医学、工程学、信息学的理论与方法,探索基础研究和创新技术的知识领域,研究解决生命健康的重大问题。
而决定学科交叉是否成功的先决条件是研究者的科研志向——保有变革图强、浴火重生的坚定意志和有力行动,不断向科学技术的广度与深度进军。
2021年,当“神舟十二号”载人飞船奔向苍茫宇宙,一个还不及成人手掌大小的心电图机正在天和号核心舱内部为航天员的生命健康保驾护航。

无创血液动力学监护仪初样机

睡眠监测仪初样机
这套由浙大生仪学院自主设计的专业生理参数检测仪器,集成常规、动态、抢救和运动四种不同心电图仪的全部功能,包含心电四合一监测、睡眠监护、无创心功能监测及相应的智能分析软件算法,满足了太空作业的极限要求。
苍穹浩瀚,小小仪器记录下中国人的心跳,回应了人类千百年的好奇与敬畏。无垠的波涛之间,一片方舟承载起人类对和平的永恒期待。
曾获记“一等功”、被誉为海上“生命之舟”的中国海军和平方舟号医院是我国自行设计研制现役的专门开展海上医疗救护的万吨级大型专业医院船,各项硬件设施相当于三级甲等医院水平。

生仪师生与解放军海军总医院(现解放军总医院第六医学中心)共同为和平方舟号量身定制了新一代海上医学信息系统,包括电子病历、海上伤病临床路径、伤病员快速分类及全程监控可视化等,实现海上临床信息一元化管理,还可与岸基医院开展卫星远程会诊及临床数据交换,确保方舟在全球任何地点都能得到岸基医院支援。

近几十年来,几代生仪人投身自主研发应用于深空深海的科技创新,顶住严苛的研发要求实现诸多技术突破。
融合之美
生命赋予科学以崇高的理想,而科学则给生命带来探索的别样幸福。
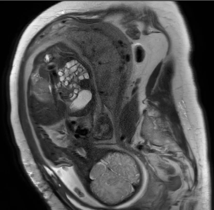
一群潜心于医学影像的生仪青年,正专注快速高分辨率的成像序列研发,在高场弥散磁共振的成像分辨率和成像速率上达到世界领先水平。如扩散磁共振能看到非常精细的大脑结构,为肿瘤等重大疾病治疗提供更好的技术手段。

科研小组从前端的成像技术和后端的图像处理技术两方面出发,开发出胎儿和婴幼儿的成像和后处理技术,拓展了胎儿大脑成像的新领域,成功克服胎儿运动伪影强的难题,实现了胎儿大脑的弥散成像和早期发育研究。
在微创内窥镜与微创手术导航领域,突破了超广角、大景深、高分辨多传感融合的光学成像和计算、柔性镜体可变刚度可控操作、双光路高清电子内窥镜立体视觉成像等数项关键技术;

在多模态影像与手术实时导航技术上,突破了光学、超声、MRI等多模态医学影像融合、高精度实时软组织配准、大尺度变形补偿和相关人工智能辅助诊断等关键技术,并有广阔的临床应用前景;

在超声成像方面,利用超声超材料和平面波造影成像技术,解决了颅骨的衰减和畸变,实现超声对小鼠脑部的超高分辨率成像,为临床颅脑超声成像提供了一种可能;

在与邵逸夫医院联合成立的国内首个睡眠大数据与人工智能实验室,自动化辅助诊断以及相关智能化仪器设备的研发正在不断推进……
幸福就在于,肉眼所不见的地方、双手所不及的方位、甚至常人的想象之外,原创成果的诞生给患者带去再次获得幸福的机会,也给高端医疗设备的国产化、产业化提供了期待的空间。
新的跨越
建院45年来,作为全国首个生物医学工程专业的诞生地,生仪学院相信可以探索出“医工信”交叉融合的浙大方案,在解决人类生命健康问题方面有引领世界的成果。

生仪学院特别为学生打造在智能硬件技术和嵌入式人工智能领域开展创新实践的场所“维空间”,得名于学院创始人吕维雪先生的姓名
面向健康医疗大数据重大战略,学科建立了医疗大数据集成、整合、存储和处理分析的标准化技术体系,研制的生物医学信息模型被openEHR国际标准组织采纳,建设了多个国家级医疗大数据项目;

在国际上率先开展基于细胞和类器官传感技术机理与定量检测的前沿性研究,研制成功仿生传感器与检测系统,并结合智能算法实现仿生传感与智能感知外界信息的功能;

构建了国内最完备的啮齿类-非人灵长类-临床植入式脑机接口研究平台,在国际上首次利用猴子脑内神经信号实现多种精细手势的实时解码,开展了国内首例基于微电极阵列的临床植入式脑机接口系统;

国内首例基于微电极阵列的临床植入式脑机接口系统,实现72岁高龄志愿者脑控机械手完成喝水、进食、握手等动作
学院院长张宏作为中国科学家领衔制定了国际首个分子影像诊断儿童癫痫国际共识与实践指南,还提出了“透明病理”的理论创新,被欧洲核医学与分子影像学会主席同期配发特邀专题评述为“是迈向精准医学的重要一步”。

张宏说:“面向世界科技前沿、面向经济主战场、面向国家重大需求、面向人民生命健康,生命与科学的交融不仅可以掌握研究的方法与技能、思考的逻辑与辨伪,更能延续创新的传统与精神,在科技潮头释放魅力,支撑人类幸福的未来。”



